ゴミ置き場で発見した瀕死の子猫。大ケガを乗り越えた生命力と回復力に多くの方が驚き、5年後に見せた元気な姿は感動を呼びました。
Instagramアカウント「okaka.soboro.onigiri」に投稿されたのは、交通事故にあい瀕死の状態で保護した、愛猫「おかか」君が元気に成長するまでの記録をまとめたリール動画です。記事執筆時点で39万回以上再生され、立派に5歳を迎えた様子に「大きく可愛く成長して良かった」「諦めないで頑張ったね」との声が上がっています。
ゴミ置き場で見つけた1匹の子猫
Instagramアカウント「okaka.soboro.onigiri」の投稿主さんは、ある日ゴミ置き場で1匹の子猫を発見したといいます。子猫は交通事故にあったのか、うずくまった状態で動かず痛みに必死に耐えていたのだとか。

瀕死の子猫・おかか君

動けないまま痛みに耐える
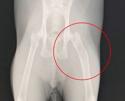
子猫を緊急保護して病院で診てもらったところ、左脚骨折、内臓損傷など酷い状態で、命が1週間保つかどうか…というほど瀕死だったそうです。主さんは「短い時間しか一緒にいられない」と悲しい思いをしながらも、残り少ないであろう時間を子猫と共に過ごすことを決めたといいます。

いつまで一緒にいられるだろうか
おかか君が見せた驚異の回復力
主さんが「おかかのためにやれる事は全てやろう」と必要なものを揃え、元気になることを願って見守った翌日。おかか君は驚きの生命力を見せ、ミルクを飲んだり手足を動かしたりできるようになったといいます。

瞳に力が宿ったおかか君

お腹も空いてきた!

ミルクもご飯も口にできるように
ご飯を食べられるようになると、おかか君の体には少しずつ成長も見えてきて、骨折していた左脚は4ヶ月でくっつき強化までされていたのだとか。難なくキャットタワーのてっぺんに上れるようにもなったようです。

左脚の骨がくっついた

誇らしげなおかか君
5年後、立派に育った姿に感動
瀕死状態で保護された子猫おかか君は、何とも驚異的な生命力と回復力で瀬戸際を乗り越え、記事執筆時点で5歳を迎えています。体重も5kgまで順調に増えていき、一時はダイエットも必要になったほどだとか。
命が1週間もつか分からないと言われた時の面影がないほど立派に成長し、同居猫の「そぼろ」君と元気いっぱいに遊びまわる、幸せな毎日を過ごせているそうです。

5歳を迎え美猫になったおかか君

飛んだり跳ねたりするのも余裕!
おかか君の命の輝きと成長した姿に感動する方が続出し、「生きて、生きて、飼い主さまとたくさん幸せになってね。」「弱っていて、大変そうだったのによく回復してくれましたね」「2人の出会いは、必然だったのでしょう」「美猫さんに成長したのですね〜」といったコメントが寄せられています。
Instagramアカウント「okaka.soboro.onigiri」では、立派な成猫になったおかか君が見せるユーモアたっぷりな投稿が目白押し。同居猫のそぼろ君の可愛い姿も見どころです。
写真・動画提供:Instagramアカウント「okaka.soboro.onigiri」さま
執筆:曽田恵音
編集:ねこちゃんホンポニュース編集部
※本記事は投稿者さまの許可を得て掲載しております。
関連記事
・猫が嬉しい!と感じている時の4つの仕草
・夜中に『道の真ん中で動けなくなっている子猫』を発見→近づいたら……壮絶な展開が132万再生「ただ涙が流れた」「胸が熱くなる」と大反響
・『大型猫の赤ちゃん』が生まれた日から70日間の記録…成長していく姿が感動的すぎると346万再生「本当に素敵」「母親の愛情深さに涙」<海外>
・猫が心を許した人にだけする仕草5つ
・『フギャ』と聞こえて駆けつけたら、猫が…飼い主さんが思わず『何があった?w』とツッコんだ姿が376万表示「酔って喧嘩した後みたいw」